Ağız ve Diş Sağlığında Profesyonel Hizmet!
Diş Hekimliğimiz, geleneksel bir diş hekiminden beklenebilecek olanı aşan bir eşsizliğe sahiptir.Sıcak ve dostça gülümsemeyle hastalarımızı ağırlayan bir ekibimiz var. Birçoğu, ailesiyle birlikteymiş gibi huzurlu hissettiklerini paylaştılar. Mevcut bakım düzeyimizin üstünde ve ötesinde mükemmellik için çaba göstermeye devam ediyoruz. Bu sadece hastalarımızla olan ilişkilerimize değil, aynı zamanda ilerlemeye devam ettiğimiz bilgi ve teknolojiyi de kapsamaktadır.
Kendimizi diğerlerinden ayırmak için, kişisel niteliklerimiz ve mesleğimizin samimi sevgisi birçok şeyden çok daha önemliymiş gibi hissederiz. Diş hekimliğimizde, tam bir insan olarak değerlenirsiniz. Herhangi bir yargılama yoktur, sadece ihtiyaçlarınızı ve istekleriniz doğrultusunda size yardımcı olacak ekibimiz vardır. Amacımız zihninizi rahatlatmak, güveninizi kazanmak ve sağlıklı, güzel bir gülümseme yolculuğunuzda sizinle birlikte yürümektir.
SORUNLARINIZA KALICI ÇÖZÜMLER İSTİYORSANIZ BİZE ULAŞIN.
Unutmayın!
Tedaviniz Ancak Siz Memnun Kaldığınızda Tamamlanır..
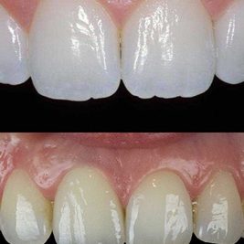
Porselen Kaplama
Dişlerde oluşan kırık, çürüme ya da estetik açıdan bozukluklar, porselen kaplama ile birlikte daha da iyi hale getirilebilir. Porselenden elde edilen ürün, gerçek diş yüzeyini kaplar ve bu sayede kusurların giderilmesine yardımcı olur.
Total Damak Protez
Total ( damak) protez hastanın alt ya da üst çenesindeki dişlerini tamamen kaybetme durumunda uygulanır. Böylelikle sağlıklı dişlere kavuşmanız son derece kısa sürer.
Gece Plağı
Çene ve yüz bölgesinde olan ağrı problemleri büyük çoğunlukla dişlerin uygun olmayan kapanma şeklinden geceleri diş sıkma gıcırdatma sonucu meydana gelmektedir.
Geçici Protez
Geçici diş protezi tedavisinde, diş hekimiz diş çekimine karar verdikten sonra dişsiz kalacak olan bölgenin estetik ve fonksiyonel açıdan yapılan geçici protezledir.
All On Four
“All-on-Four” ilk olarak” Paulo Malo tarafından tarif edildi ve 2003 yılında iş arkadaşları. Kısacası, dört (veya daha fazla) implant Tamamen dişsizliğin ön kısmına yerleştirilir.
Zirkonyum Kaplama
Diş tedavisinde güçlendirici ve koruyucu olarak zirkonyum kaplama uygulamaktayız.
Hastaya Yönelik Bakım
Hastalarımızla birebir ilişki kurarak problemlerini eksiksiz bir biçimde dinleyip hızlı çözüm önerileri sunmaktayız.
Bize Ulaşın
Adres
Meşrutiyet Cd. Kızılay
Çankaya/ANKARA
Çankaya/ANKARA
Çalışma Saatleri
Hafta İçi………… 09:00- 19:00
Pazar ……… Kapalı
Pazar ……… Kapalı
Telefon
0530 889 21 39









